
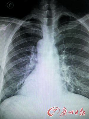
X光片上患者的心脏阴影在右边。
东莞现镜面人,五脏六腑长的位置和一般人相反,正常人的心脏、脾脏在左侧,肝脏在右侧。但日前,东莞市第八人民医院收治的一名病人正好相反,他的心脏、脾脏在右边,肝脏在左边。
医生告诉记者,前两天患者袁先生因下腹疼痛来就诊,在门诊时医生进行抗炎、止痛治疗,但病情却无好转。袁先生随后入院进行腹痛查因,医生检查后才发现,患者竟然是“镜面人”。
所谓“镜面人”,又称“镜子人”或“镜像人”,即心脏、肝脏、脾脏、胆等器官的位置与正常人相反,心脏、脾脏在右边,肝脏位于左边,心、肝、脾的位置好像是正常脏器的镜中像。医生告诉记者,“镜面人”发生几率约为百万分之一。
医生赶快拿起听诊器听诊心音区,发现患者右侧心音较左侧明显,跟常人相反。经胸片、心电图及B超等检查后,确诊患者为急性化脓性阑尾炎内脏反位,也就是“镜面人”得了阑尾炎。
急性化脓性阑尾炎必须急诊手术,而“镜面人”手术时却与常人手术有着很大的不同,必须都反着来。通过术前手术方式的重新设计和精心准备后,患者于当日急诊行了阑尾切除术,手术非常顺利,很快袁先生康复出院。
东莞镜面人患者是做间谍的人选呀,遭遇敌人袭击,如果敌人瞄准他的心脏位置就打空了。
本文“”来源:http://www.lkttc.com/news/shehui/59921.html,转载必须保留网址。(记者汪万里)







